January 5th, 2012
Coach Wants Me to Play. Will You Let Me, Doc?
Tariq Ahmad, MD, MPH and James Fang, MD
A 21-year-old Division I college football player presented with palpitations that had started during athletic practice. He was referred to a cardiologist for further evaluation.
Vital signs and physical exam were normal. An EKG showed prominent R waves, inverted T waves in leads V1–V2, along with a biphasic T wave in lead V3. QRS axis and QTc interval were normal.
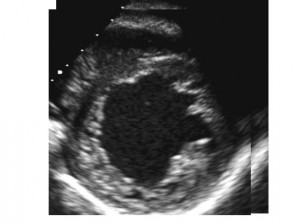
A transthoracic echocardiogram raised concerns about possible left-ventricular noncompaction.
LV systolic function was found to completely normal. However, the ratio of thick, noncompacted myocardium to thin, compacted myocardium was 1.7 in end-systole. (Jenni criteria include the presence of a maximum ratio of noncompacted-to-compacted myocardium >2 to 1 at end-systole in the parasternal short-axis view.)
An MRI was performed to confirm the diagnosis.
A detailed review showed mild biventricular enlargement with a ratio of thick, noncompacted to thin, compacted myocardium of 2.0. (The best distinguishing feature for LV noncompaction was a maximum ratio in diastole of noncompacted-to-compacted myocardial thickness of >2.3 to 1, as assessed in three long-axis views.)
The patient has a college football scholarship and dreams of becoming an NFL player.
Questions:
1. Would you advise the patient to continue playing competitive football?
2. Would you perform any additional tests? How would the test results affect your decision about whether to let him play?
Response:
January 12, 2012
This young man with palpitations has modest EKG abnormalities, as well as echo and MRI findings that suggest LV noncompaction (LVNC) — an uncommon cardiomyopathy due to congenital lack of endocardial compaction of the spongiform myocardium. The patient requires more investigation before concluding that he has LVNC. Exercise testing and Holter monitoring should be performed. In addition, a careful family history should be taken, given that up to half of all LVNC cases are reported to be familial. The inheritance pattern of LVNC appears to be X-linked, which should be considered in obtaining the family history.
Important aspects of the imaging diagnosis include the ability to see flow within the trabeculae of the noncompacted endocardium and localization of the noncompaction to the inferolateral and apical regions. The diagnosis generally requires a clinical picture of systolic heart failure, thromboembolic phenomena, arrhythmia, and/or familial inheritance.
If systolic and diastolic function are completely normal in the setting of normal exercise echocardiography and Holter results, the diagnosis of LVNC would be, at best, possible. However, the patient should be followed for the development of symptoms. Although sudden death from arrhythmias is a well-known complication of LVNC, it is an unusual first manifestation.
The diagnostic criteria for LVNC continue to evolve. The criteria differ depending upon the modality used to establish the diagnosis. Specifically, the diagnosis is made (1) from the systolic ratio of spongiform endocardium to epicardium using echocardiography but (2) from the diastolic ratio using MRI. Furthermore, the imaging quality of MRI has become so good that “hypertrabeculation” in many instances represents a normal variant rather than a pathologic finding. Some have expressed concerns that, in the absence of a suggestive clinical picture (e.g., symptoms, family history), a diagnosis of LVNC should not rest entirely on the imaging findings. In fact, both underdiagnosis and overdiagnosis likely occur in clinical practice.
Given these considerations, the patient should refrain from athletic activity until the above evaluation is completed. I would ultimately advise against participation in vigorous athletics in the case of a positive family history, abnormal results on the tests I have recommended, or development of further symptoms.
Follow-Up:
January 19, 2012
The patient underwent a cardiac catheterization that revealed normal coronary arteries. During a manual 1-minute-stage exercise protocol, he exercised for 9 minutes 35 seconds and achieved a peak workload of 17.9 METs. Peak oxygen consumption was 54 mL/kg/minute (114% of predicted). No arrhythmias were noted during the study.
During an electrophysiologic study to risk-stratify the patient for sudden cardiac death, ventricular extra stimulus testing was performed using pacing at both the right-ventricular outflow tract and the right-ventricular apex, with up to 3 extra stimuli. Ventricular tachycardia (nonsustained or sustained) could not be induced.
The patient was told to “sit out” this football season and, if he remained asymptomatic, resume playing next year. He did so, without any further symptoms.
Interestingly, transthoracic echocardiography, performed after the patient reduced his activity level, showed improvement in trabeculations.




A stress echo along with a regular EKG during the stress test is in order. Also an endocardium biopsy is also needed. He probably should not play football, as the risk of dropping dead would be high.Sometimes you have to play the hand that is dealt to you even with all the advances in medicine.
Competing interests pertaining specifically to this post, comment, or both:
none
Great case Tariq- I am uncertain of the answer. My understanding is that with the advance in MRI, LVNC is becoming increasingly recognized. However, asymptomatic LVNC is also being identified and this likely changes the traditional prognosis of LVNC. I think the guidelines recommend managing LVNC the same way as HCM when it comes to competitive sports- ie to refrain from competitive endurance sports. I would perform a Bruce protocol ECG looking for PVCs, NSVT, and QT changes and likely recommend against him pursuing an NFL career.
We are not told about the LV systolic function which is probably of important prognostic significance; anyway,palpitations suggest arrhythmia . Holter monitoring and exercise testing are mandatory to look for ventricular PVCs or tachycardia.
Only if these tests are strictly normal, consider continuing high level physical activity but repeat tests regularly.
I would advise another professional orientation…
Competing interests pertaining specifically to this post, comment, or both:
No conflict
We are not told about the LV systolic function which is probably of important prognostic significance.
Competing interests pertaining specifically to this post, comment, or both:
No conflict
I would advise against playing. Unless his dreams include being a prematurely dead NFL player.
Competing interests pertaining specifically to this post, comment, or both:
Football could disappear for all I am concerned.
Would you advise the patient to continue playing competitive football
No the disease is a progressive one and the patient is symptomatic
Would you perform any additional tests? How would the test results affect your decision about whether to let him play?
yes to stratify the risk of lethal arrythmia but not to let him play
Recently we read about sudden death of a Rugby Player with noncompacted myocardium
Competing interests pertaining specifically to this post, comment, or both:
no cnflicts
There is no question as to the diagnosis. There is no treatment. It is well know that sudden death is a significant risk. If the holter monitor were normal, it would change nothing. The obvious answer to the question is: To play is a risk of sudden death, the risk is significant. The athelete and his family must decide if they want to take the risk. if he were my son, i would say no.
The decision to play competitive football is an easy one that does not involve either the patient or his family. Simply put the institution is not going to let him play. The same is clearly true of the NFL. The real question is what to do in the long term management of the patient. The answers are not clear in terms of arrhythmia prophylaxis (AICD). Probably serial imaging and stress testing would be helpful in making that decision.
Competing interests pertaining specifically to this post, comment, or both:
None
Is there any information about the natural history and prognosis of early/mild asymptomatic LVNC?
What is the incidence of mild LVNC?
Are we really convinced that this is the diagnosis?
I recall that IHSS was a malignant disease in the 1960’s. What will we be saying about LVNC in 20 years?
Competing interests pertaining specifically to this post, comment, or both:
None
Simply putting it–answer is no.Shoulkd
Simple answer is -NO.He should not play in NFL.
.
We don’t know how frequent is the palpitation he is complaining from, I would consider putting a loop recorder in this young lad before allowing him to do any competitive exercise
regards