An ongoing dialogue on HIV/AIDS, infectious diseases,
November 13th, 2009
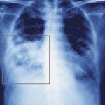
Practical H1N1 Management Question
Let’s imagine you’re seeing a case of pneumonia, and you suspect (as is quite reasonable these days) that it is precipitated by H1N1 influenza.
What antibiotics do you choose for an outpatient?
(If someone is sick enough to be admitted — especially to the ICU — I’m assuming the all-guns blazing approach will be adopted.)
Even though some of these pneumonias have been only H1N1, bacterial superinfection can and does occur — most commonly with our old friend S. pneumoniae, somewhat less so with group A strep, S. aureus (including MRSA, of course), and H. influenza.
But since we hardly ever know exactly what species of bacteria we’re dealing with, how can you leave even one of these out? That MRSA one in particular?
This past week I chose trimethoprim-sulfamethoxazole + high-dose levofloxacin — in addition to the oseltamavir.
Overkill? These guidelines from Canada would suggest so, but I’m not so sure. After all, most people with H1N1 do not get pneumonia at all (and hence do not need antibiotics), and not surprisingly this was not a person with a normal immune system.
Should be an interesting winter …


NOT overkill. This morning I am mourning the death of my brother’s fiancee’s seven year old previously healthy niece from MRSA pneumonia/empyema/septic shock complicating H1N1, who did not get empiric antibiotics with MRSA coverage. And while we are on the subject, this young girl was evaluated twice prior to her admission to the ICU, diagnosed with H1N1 and sent home without a prescription for olsetamivir. Why are physicians not prescribing antivirals early on for H1N1, especially in young children and young adults who are most likely to suffer more severe illness and die? We cannot predict who will go sour. I diagnosed my own 15 year old daughter with H1N1 (later confirmed) and within eight hours of the onset of her symptoms, initiated olsetamivir. Yeah, she would have likely recovered on her own, but I wasn’t going to take any chances. Olsetamivir is relatively safe and fairly available. Yes, the downside is promoting the development of resistance but who out there amongst my colleagues would elect not to initiate treatment for suspected H1N1 in a loved one sooner rather than later? Do our patients deserve any less?
It would be the rare patient, especially in the case of the immunocompromised pt, that I would consider outpatient management for suspected superimposed S. aureus/pneumococcal pneumonia in the setting of influenza (nH1N1, or not). This can progress rapidly and I would not necessarily feel comfortable with po Tmp/smx as “induction” therapy for presumed MRSA pna.
Why not admit the patient, collect cultures and other data, treat with broad empiric therapy eg vanco, ceft (or perhaps cefepime if immunocompromised), azithro then downshift to oral therapy to include tmp/smx if MRSA still in the picture? Perhaps I’m a wimp, but your scenario would make want further data/monitoring.
Perhaps there is more to your story that makes outpatient therapy more favourable?
These comments highlight the potential seriousness of pneumonia as a complication of H1N1 — and further reinforce my view that the Canadian guidelines are perhaps too narrow.
As for the particular patient I cited, he did quite well as an outpatient. My bias is always to try and avoid hospitalization if 1) the patient is not critically ill and 2) he/she prefers a trial of outpatient care. Both were applicable here.